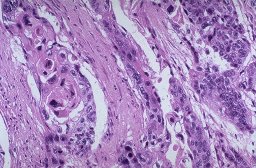
At high power, these infiltrating nests of neoplastic cells have abundant pink cytoplasm and distinct cell borders typical for squamous cell carcinoma. Esophageal carcinomas are not usually detected early and, therefore, have a very poor prognosis.