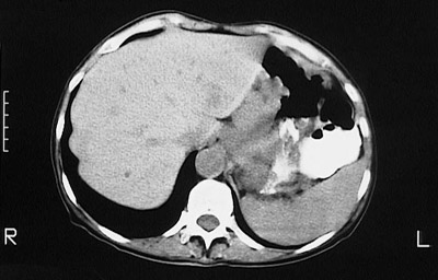
![]() | This abdominal CT scan view with contrast demontrates a mass lesion distorting the lower esophagus and upper gastric fundus, which proved to be a squamous cell carcinoma arising in the lower esophagus. It is often difficult to tell if an adenocarcinoma at this site arose in the lower esophagus or upper stomach. |
![]() |