
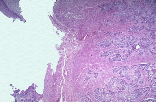
| At the upper left is a remnant of squamous esophageal mucosa that has been undermined by an infiltrating squamous cell carcinoma of the mid-esophagus. Solid nests of neoplastic cells are infiltrating down through the submucosa at the right. Esophageal cancers often spread to surrounding structures, making surgical removal difficult. |
![]() |