
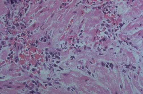
| The inflammation here is primarily perivascular (above) and interstitial (below) along with myocyte necrosis. It helps to know that this patient had an orthotopic heart transplant. Thus, this represents transplant rejection. Most rejection episodes are a cellular form of rejection (cell-mediated immunity). |
![]() |