
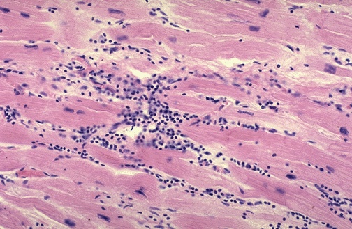
| The interstitial lymphocytic infiltrates shown here within the myocardium are characteristic for a viral myocarditis, which is probably the most common type of myocarditis. Many of these cases are probably subclinical. Some may be a cause for sudden death in young persons. There is usually little necrosis. The most common viral agent is Coxsackie B. |
![]() |