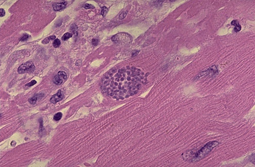
The etiology for the myocarditis is shown here. A
Toxoplasma gondii
pseudocyst appears in a myocardial cell. The pseudocyst contains bradyzoites of
T. gondii
. Such an infection is typical for immunocompromised hosts, such as those with AIDS.