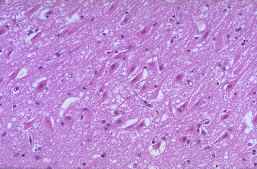
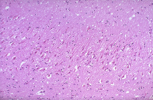
The neurons are the most sensitive cells to anoxic injury. Seen here are red neurons which are dying as a result of hypoxia. One of the most sensitive areas in the brain to hypoxic injury is the hippocampus, as seen below.