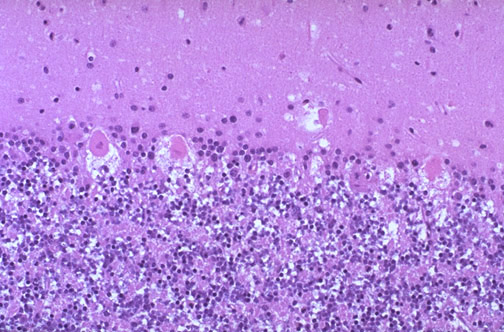
The Purkinje cells between the molecular and granular layers of the cerebellum are also highly susceptible to anoxia. Those seen here have red cytoplasm, indistinct cytoplasmic borders, and karyolysis.