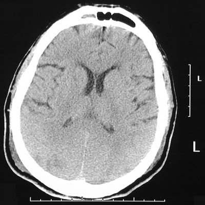
This head CT scan reveals occipital lobe acute infarctions characterized by loss of gyral distinction along with darker white matter, compared to the uninfarcted frontal lobes.