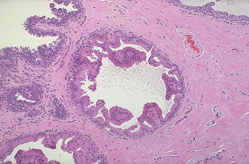
There is prominent apocrine change of the cells lining the cysts in this example of fibrocystic changes of breast. Note the tall, pink, columnar nature of the epithelial cells. This appearance is benign.