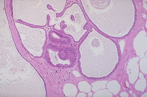
At low power, the prominent cysts of fibrocystic changes are shown. The cysts are lined by a single epithelial layer of varying height.