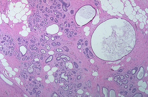
Another example of microscopic fibrocystic changes of the breast are shown here. Fibrocystic changes account for the majority of "breast lumps" that are found in women in their reproductive years, particularly between age 30 and menopause.