 |
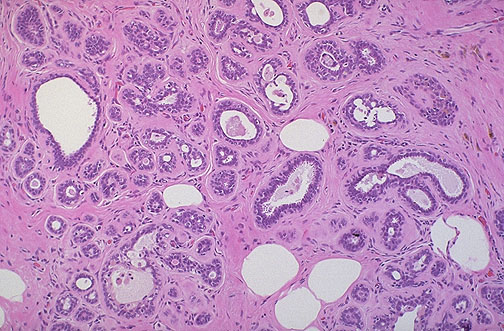
Prominent sclerosing adenosis, one of the features of fibrocystic changes, is demonstrated here by the appearance of a proliferation of small ducts in a fibrous stroma. Although it is benign, the gross and mammographic appearance may mimic carcinoma, and it can be difficult to distinguish florid sclerosing adenosis from carcinoma on frozen section. |