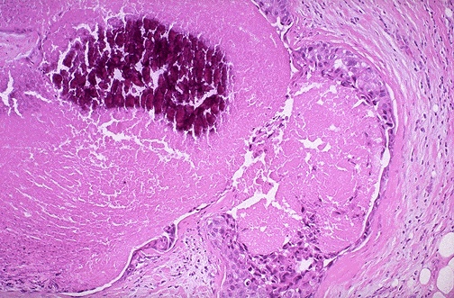
The cells in the center of the ducts with comedocarcinoma are often necrotic and
calcify
, as shown here. This central necrosis leads to the gross characteristic of extrusion of cheesy material from the ducts with pressure (comedone-like).