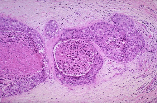
Here is a comedocarcinoma pattern of intraductal carcinoma, which is characterized by the presence of rapidly proliferating, high-grade malignant cells. Note the prominent central necrosis in the ducts.