
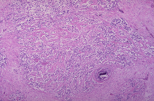
| This is infiltrating ductal carcinoma of breast. Note the infiltration of ill-defined glands into the surrounding collagenous stroma. There is also a small microcalcification at the lower right of center, a finding that could be seen by mammography. About 65 to 80% of breast cancers are of this type. |
![]() |