
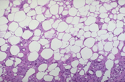
| This is fat necrosis of the breast. The most common etiology is trauma. It can be a localized, firm area with scarring that can mimic a breast carcinoma. Microscopically, however, fat necrosis consists of irregular steatocytes with no peripheral nuclei and intervening pink amorphous necrotic material and inflammatory cells, including foreign body giant cells responding to the necrotic fat cells. |
![]() |