
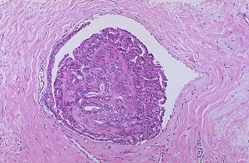
| A small benign intraductal papilloma appears here in a breast duct, typically in one of the main lactiferous ducts beneath the areola. Note that the epithelial cells show no atypia and that there is a fine pink collagenous stroma within the papilloma. An intraductal papilloma may be associated with a serous or bloody nipple discharge, or it may cause some nipple retraction. |
![]() |