
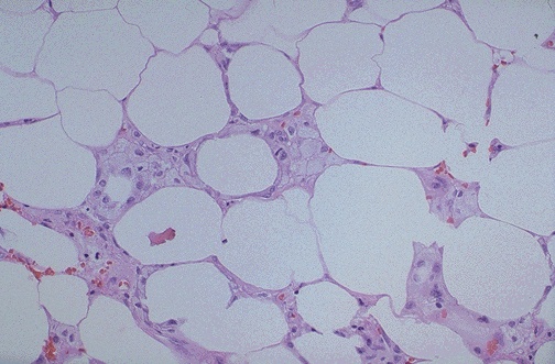
| In this view of fat necrosis at high magnification, some lipid-laden macrophages are seen between the necrotic adipose tissue cells. The most common etiology is trauma, but fat necrosis of the breast can also occur with surgery and radiation therapy. |
![]() |