
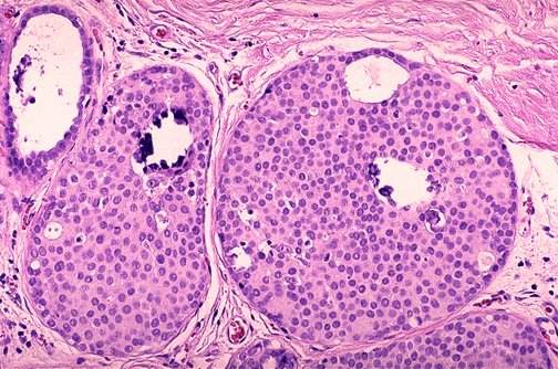
| This high power microscopic view demonstrates intraductal carcinoma. Neoplastic cells are still within the ductules and have not broken through into the stroma. Note that the two large lobules in the center contain microcalcifications. Such microcalcifications can appear on mammography. |
![]() |