
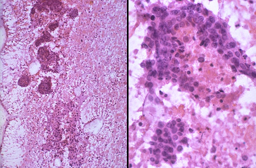
| Fine needle aspiration (FNA) cytology is a useful technique for diagnosis of palpable and mammographically detectable breast lesions. Seen on the left at low magnification are discohesive clusters of cells; on the right at high magnification the atypical nuclei characteristic for a carcinoma are present. |
![]() |