
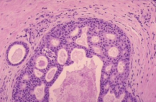
| The classic cribriform pattern of intraductal carcinoma of the breast is shown here. The neoplastic epithelial cells within the duct show minimal hyperchromatism and pleomorphism, but they surround holes with sharp margins, as though punched out by a cookie cutter. |
![]() |