
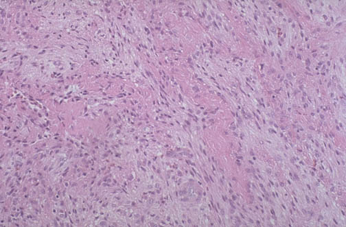
![]() | An uncommon condition that occurs not within bone, but in adjacent muscle, is the process of myositis ossificans. In this condition, there is an exaggerated healing response to local trauma, with a lesion several centimeters in size. The lesion has a central cellular fibroblastic core, as seen in the medium power view below, with surrounding woven bone and a rim of dense trabecular bone that blends with adjacent muscle fibers. The whole process eventually calcifies and shrinks over weeks to months. The diagnosis is suggested by radiographs. |
![]() |