
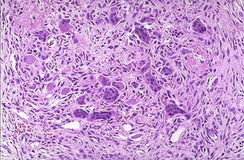
| The center of the "brown tumor" contains osteoclasts and mononuclear cells and fibroblasts with focal hemorrhages. The hemosiderin from the hemorrhage produces the grossly brown color. Such lesions are nowadays uncommon because hyperparathyroidism is treated before such lesions develop. |
![]() |