 |
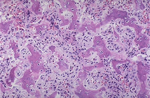
This is the central nidus of an osteoid osteoma composed of irregular reactive new bone. Osteoid osteomas usually occur in the axial skeleton (especially tibia and femur) in bone cortex of young males in the second decade of life. An osteoblastoma is just a big osteoid osteoma in the vertebra. These lesions are benign and cured by resection. |