
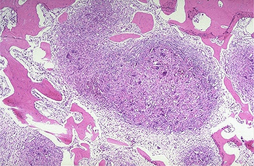
| Here is a "brown tumor" of bone in a patient with hyperparathyroidism. The high parathormone levels increase osteoclast activity in bone and produce irregular bone resorbtion with microfractures and hemorrhage and macrophage proliferation and fibrous connective tissue proliferation. |
![]() |