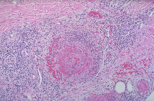
This is a case of polyarteritis nodosa (PAN) seen in dermis at low magnification.