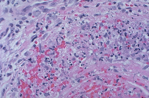
This is a case of polyarteritis nodosa (PAN) seen in dermis at high power. Note that in this case the inflammation is more acute and that there are neutrophils with leukocytoclasis.