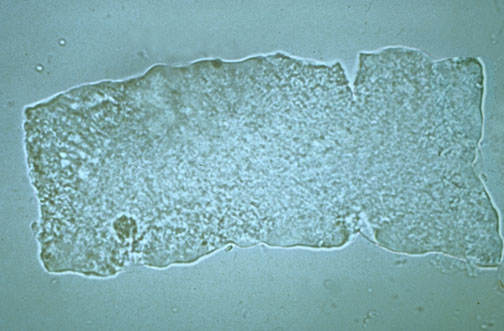
This is a broad, waxy cast. Note that the edges are sharp and there are "cracks" in this cast.