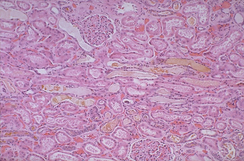
This section of renal cortex reveals tubules containing hyaline casts that are bile stained in a patient with hyperbilirubinemia.