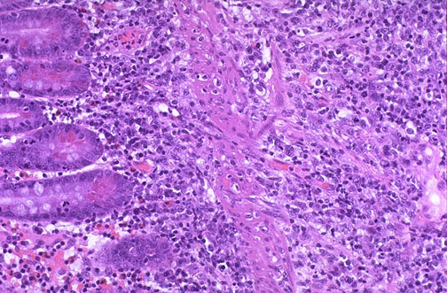
Post-transplantation lymphoproliferative disorder can have an extensive organ involvement. PTLD is seen here as a lymphoid infiltrate in the mucosa and submucosa of the small intestine.