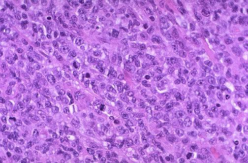
At higher magnification, the PTLD seen here as a lymphoid infiltrate in the small intestine is polymorphous, but with a significant component of larger lymphoid cells.