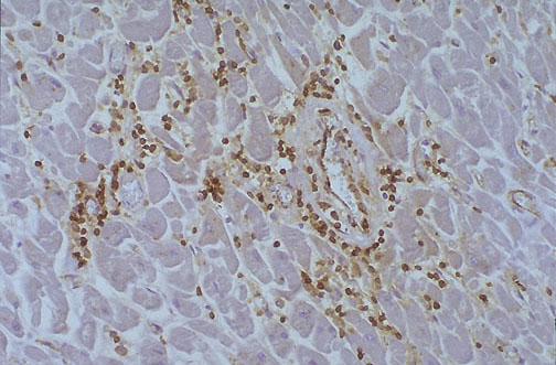
Immunoperoxidase staining with antibody to CD3 identifies the interstitial infiltrates of mononuclear cells in the myocardium to be mainly T-cells.