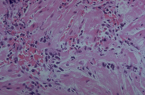
The interstitial and perivascular inflammation with hemorrhage is characteristic for acute cellular and vascular rejection.