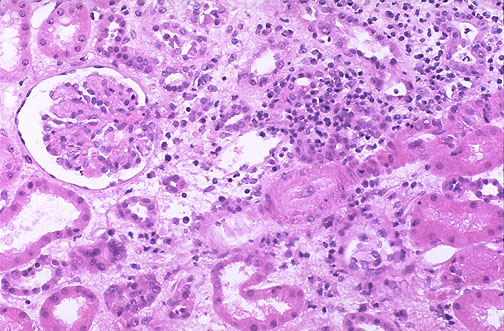
At medium power, there is an infiltrate of lymphocytes in a tubulointerstitial pattern consistent with acute cellular rejection. The glomerulus is spared.