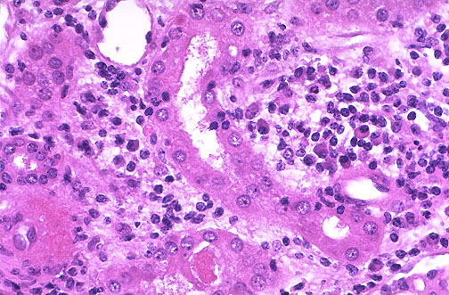
At high power, the pronounced mononuclear infiltrate of lympocytes and plasma cells around tubules in intersitium is consistent with acute cellular rejection.