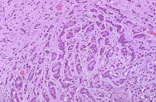
This is a high grade adenocarcinoma of prostate. There are ill-defined glands, and at the top just single infiltrating cells.