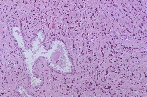
This is a high grade adenocarcinoma of prostate with single infiltrating cells. A residula normal prostatic gland is seen at the left of center.