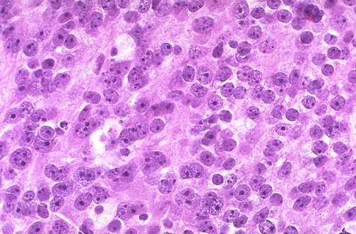
Many large nucleoi are seen here in the nuclei of cells in this prostatic adenocarcinoma.