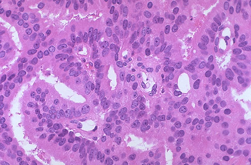
A hallmark of prostatic adenocarcinoma is the presence of prominent large nucleoli, as seen here.