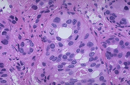
This is a moderately well-differentiated adenocarcinoma of the prostate at high magnification.