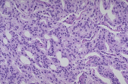
Adenocarcinoma of the prostate is shown here at medium power. Some of the neoplastic glands have lumens, but there is no stroma between.