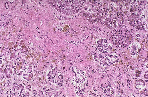
At medium magnification, the pancreas demonstrates interstitial fibrosis, along with extensive iron deposition seen as pale brownish hemosiderin granules.