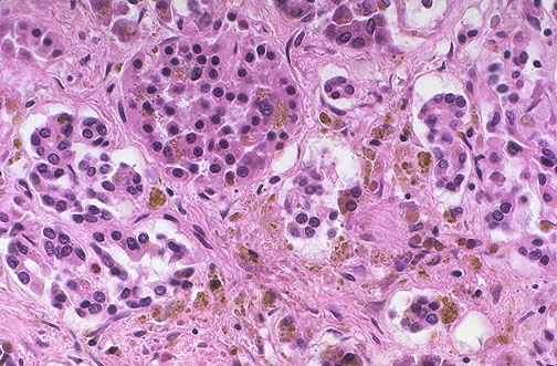
At high magnification, the excessive deposition of pale brownish hemosiderin granules is seen to be present in both the endocrine (islets of Langerhans) and exocrine portions of pancreas.