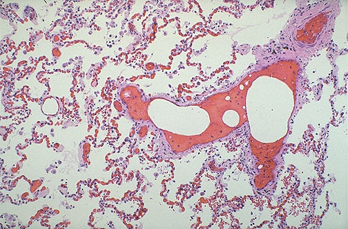
The clear spaces in peripheral pulmonary arteries represent fat emboli from marrow infarction in a patient with hemoglobin SC disease.