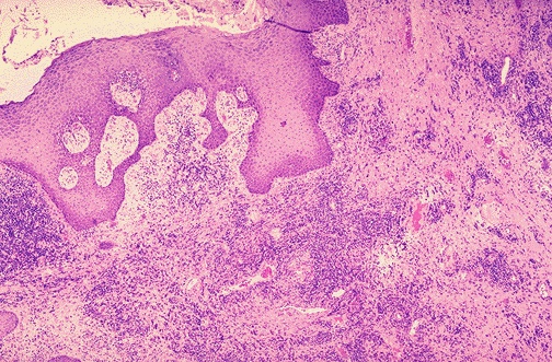
Acne is marked by folliculitis, and the inflammation can spread to involve the surrounding dermis, as seen here at low magnification.