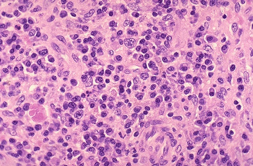
The pustular acne is marked by intense acute and chronic inflammation, as seen here at low magnification.