
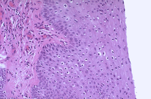
| At medium magnification the condyloma, which is the result of human papillomavirus (HPV) infection (usually subtypes 6 and 11), demonstrates vacuolization. The condyloma itself is not premalignant, but persons with these lesions may have other lesions with other subtypes of HPV that can progress to dysplasia and malignancy. |
|