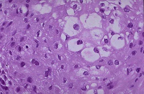
At high power are seen the vacuolated, koilocytotic changes in the squamous epithelial cells from human papillomavirus infection.