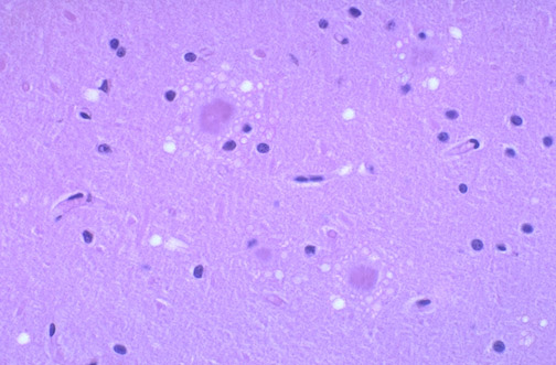
Note the rounded dark pink
plaques
, surrounded by prominent spongiform change, that are features of variant CJD.